Altijd gedacht dat ik doorgezakte voeten had maar de podotherapeut stelde dat idee bij: “ja, je hebt een lage voetboog en je voeten kantelen door maar waar jij last van hebt is hypermobiliteit. Je hebt steviger wandelschoenen nodig.”
Tja, dat van die hypermobiliteit was niet nieuw. Vroeger in de kroeg, als het inmiddels zo laat was geworden dat we wedstrijdje ‘rare dingen die je kunt doen met je vingers’ gingen spelen was ik altijd de onbetwiste winnaar. Ook kan ik mijn voet zo ver raar indraaien, dat ik het in een arm land waarschijnlijk heel goed zou doen als bedelaar.
Na de Schotland-wandelvakantie in 2016 ging het niet meer zo goed met mijn voeten. Ik kreeg weer last van hielspoor, op een andere plek dan voorheen. Hielspoor begint met pijnlijke voeten als je uit bed stapt. Later krijg je ook pijnlijke voeten als je opstapt uit een stoel. Op het laatst heb je alleen nog maar pijnlijke voeten. Het voelt dan een beetje alsof je loopt op grint, met af en toe een ongelukkige stap op een scherp steentje.
Oorzaken
Behalve hypermobiliteit zijn er nog een aantal andere mogelijke oorzaken. Ben je rugzakloper, dan is de meest logische verklaring overbelasting door wandelen en voeten die naar binnen zakken tijdens het afwikkelen. Andere risicofactoren zijn overgewicht, een verkorte achillespees, verkorte en stijve kuitspieren, en lang staan op een harde ondergrond.
Leeftijd
Leeftijd speelt ook een rol. Ergens tussen je veertigste en zestigste begint het gelazer dat je lichaam tijdens de nacht niet meer volledig van de schade van de vorige dag kan herstellen. Ik heb op de meest waardeloze schoenen decennia prima ver kunnen lopen. Vroeger combineerde ik een rugzakvakantie met ballerina’s, nota bene. Dat vond ik prima schoenen waar ik lang op kon lopen want die hadden geen hakje.
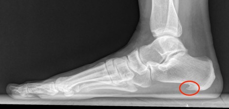
Hielspoor en peesplaatontsteking
Omdat ik hypermobiel ben, ondersteunen te lange pezen mijn voetspieren niet goed. Het gevolg is dat de bindweefselband (de plantar fascia) onder de voet teveel uitrekt waardoor er micro scheurtjes in ontstaan. Met een peesplaatontsteking bij de aanhechting op het hielbot (fasciitis plantaris) als gevolg. Die aanhechtig op het hielbot kan ook verkalken en dan heb je er hielspoor bij. Die verkalking behandelen sommige fysiotherapeuten met shockwave therapie, waarbij je voeten behandeld worden met een soort niersteenvergruizer. Ik heb verschillende sessies gehad maar er geen baat bij gehad.
Het is extra belangrijk voor mensen die kromme duimen kunnen maken of overstrekte knieën hebben, om stevige bergschoenen te dragen en niet, zoals ik deed, mee te gaan met de trend die adviseert zo licht mogelijke schoenen te dragen. En ja, er zijn langeafstandwandelaars die de PCT, AT enzovoort uitlopen op lichte hardloopschoenen, vaak de Altra Lone Peak. Maar die zijn gewoon beter gebouwd dan ik.
Uit een Amerikaans militair onderzoek is ooit vast komen te staan dat elke 100 gram aan je voeten gelijk staat aan 500 gram in je rugzak. Bij elke stap moet je namelijk ook het gewicht van je schoenen optillen. Deze wetenschap heeft eerst in de V.S. en later in Europa een hele revolutie ontketend. In de jaren ’90 liepen in de V.S. de meeste mensen al op gympen de bergen op, terwijl er in Nederland nog steeds zware leren bergschoenen werden verkocht.
Zo licht mogelijk niet altijd goed
Recht tegenover het verhaal van mijn podotherapeut staat het verhaal van de barefoot-schoenindustrie. Mijn probleem zou juist veroorzaakt worden door schoenen. Het dragen van schoenen zou de oorzaak zijn van slappe voetspieren. Uiteraard heb ik deze andere benadering ook uitgeprobeerd. Op blote voeten lopen, Nike Free gympen, barefoot schoenen van Leguano en zero drop Inov8 (trailrun)schoenen, waarbij er geen hoogteverschil is in de zool tussen hiel en tenen. Ik heb het allemaal geprobeerd en ze hebben het probleem alleen maar rap verergerd.
Mijn schoenen moeten opvangen wat de banden niet kunnen, zodat de spieren niet al het werk hoeven te doen. Spieren kan je inderdaad trainen maar die raken echter na een tijdje vermoeid omdat energie in spieren opraakt. Banden kun je helaas niet trainen. Het was dus tijd voor nieuwe inlegzooltjes gemaakt door een podotherapeut en stevigere bergwandelschoenen.
Versleten van binnen
Nu waren mijn Lowa Innox GTX Mid destijd toch wel een beetje op na het trainen voor Schotland en de wandelvakantie zelf, dus was het tijd voor nieuwe bergschoenen. De slijtage van de één jaar oude, lichtere wandelschoenen kan je niet aan de buitenkant van de schoen zien: de buitenstof is nog heel, er zit nog genoeg profiel op de zolen. Maar de zool is van binnenuit doorgezakt en ondersteunt de voet niet meer goed. Ook Dave’s Lowa’s kampten met hetzelfde probleem. Zelfs als we de schoenen voor een korte wandeling droegen, kregen we beiden pijn. Wat ook pijn deed, was de op het oog nog in goede staat lijkende schoenen in de vuilnisbak gooien, wat mijn fysiotherapeut adviseerde.
Op advies van de podotherapeut zocht ik nieuwe bergschoenen uit, die moesten voldoen aan een aantal kenmerken:
- een zool die buigt onder de bal van de voet maar niet kan buigen onder de voetboog;
- een zool die je niet kan torderen als je de neus met je ene hand en de hiel met de andere hand tegen elkaar in probeert te draaien;
- een stevige hiel;
- genoeg demping in de zolen.
Schoenen passen en testen
Als je schoenen koopt, dan moet je voelen welke leest past bij de vorm van je voet. Je moet ze voldoende groot kopen (een vinger achter de hiel kunnen steken) en ze moeten lekker zitten. Neem bij twijfel altijd de grotere maat. De hiel mag niet los komen op een schuin stuk omhoog en de tenen moeten niet naar voren schuiven op datzelfde stuk omlaag. Gebeurt dat wel, kijk dan of je de schoenen goed geveterd hebt. Voordat de veters op de schacht door de haakjes gaan, maak je boven op je voet een extra halve knoop, die je nog een keer extra doorhaalt. Blijven je voeten schuiven, leg de schoenen dan terug in de doos. Bij Zwerfkei in Woerden en Bever in Houten hebben ze een uitgebreid testparkoers: loop dit zowel heen als terug voor het schuine stuk. Het beste pas je schoenen aan het eind van de middag na een wandeling, als je voeten wat meer opgezet zijn.
Huttenslof en bergschoen ineen
Ik kocht nieuwe bergschoenen die aan de criteria voldeden, van Salomon. De X Alp MTN GTX. Deze worden nog steeds gemaakt, zij het in andere kleuren. Ook Dave kocht nieuwe bergschoenen, van het merk Arc’teryx het model Bora 2 met een uitneembare binnenschoen. Zo drogen je schoenen sneller en de binnenschoen kan je gebruiken als huttenslof. Inmiddels zijn deze schoenen en het type niet meer verkrijgbaar.
Helaas ging het alleen maar verder bergafwaarts met mijn voeten en besloten we ons maar te gaan richten op fietsvakanties. Op een dag stapte ik binnen bij de huisarts en kieperde mijn hele verzameling podotherapeutische zooltjes op zijn bureau, met de vraag “mag ik nu eindelijk een doorverwijzing naar een orthopeed?” Inmiddels weet ik dat er nul wetenschappelijk bewijs is voor het nut van inlegzolen. Maar ze kunnen wel de druk op de hiel en daarmee de pijn verlichten.
Ook bij de orthopeed kreeg ik therapieën die niet hielpen, zoals een gipsen poot die je kon aantrekken en waarmee je dan moest slapen met je voet in een haakse hoek. Dat gaf zoveel druk onder de voorvoet, dat ik geen oog meer dichtdeed. Nu had ik zere voeten én een slaaptekort. Wel kan je op deze manier je voet wat onbelast rekken als je ’s avonds op de bank tv kijkt. Ik heb in die tijd meer tv gekeken dan me lief is. Een wat mildere oplossing vergeleken met de gipsspalk is de zogeheten Strassburg Sock. Die trekt echter je tenen raar omhoog en dat is maximaal vijf minuten leuk.
Wat een beetje hielp waren oefeningen bij een Sport Medisch Centrum (SMC). Oefeningen om de peesplaat te rekken en de kuitspieren kan je ook makkelijk thuis doen. De site Hielspoorinfo geeft een goed overzicht van de oefeningen. Daarnaast moest ik bij SMC ook nog veel balansoefeningen doen op een zachte mat. Waarbij je naar voren of opzij stapt en dan een tijdje op een voet moet blijven balanceren. Ook heerlijk was het om een voetrolletje onder de voet door laten gaan om de peesplaat te masseren en op te rekken: een Blackroll mini.
De oplossing die uiteindelijk ervoor zorgde dat ik weer kon lopen, was de verwijzing van de orthopeed naar een orthopedisch schoenmaker. Iedereen heeft een beeld bij orthopedische schoenen maar tegenwoordig kan je aan orthopedische schoenen niet meer zien dat ze voor iemand met de hand gemaakt zijn. Tenzij je misschien een flink beenlengteverschil hebt. Je mag zelf materialen, kleuren, ontwerp en zool uitzoeken. Wel moeten de schoenen van de verzekering altijd van leer gemaakt zijn.
Kwakzalvers
Achteraf gezien had ik niet zo lang moeten doormodderen met orthopedische inlegzolen en fysiotherapie. Het heeft echt een paar jaar geduurd voordat ik van de klachten af was en weer een beetje een wandeling kon maken. Podotherapeuten die zich zogenaamd hebben gespecialiseerd in sport en fysiotherapeuten die shockwave therapie en dry needling aanbieden, zie ik tegenwoordig als kwakzalvers. Dat komt ook omdat ik destijds op internet vooral sites tegenkwam van bedrijven die de shockwave apparaten wilden verkopen aan fysiotherapeuten. Zoek ik er nu op, dan vind ik vooral heel veel sites van fysiotherapeuten die zo’n apparaat hebben aangeschaft en het aanprijzen als een wondermiddel voor een heel scala aan kwalen. Dat moet toch te denken geven. Bovendien kan je op de site Huisarts & Wetenschap nalezen dat er nul wetenschappelijk bewijs is voor shockwave therapie. Het Nederlands Huisartsen Genootschap raadt dry needling en shockwave therapie als behandeling van hielspoor niet aan.
Mijn advies aan mensen in hetzelfde schuitje: als jij merkt dat je tweede paar inlegzolen weer niet voldoet en je wilt omzien naar podoloog nummer drie, ga dan terug naar je huisarts voor verder advies. Uiteindelijk is het de vraag of mijn hielspoor na verloop van tijd gewoon vanzelf genezen was. Zelf denk ik dat vooral de steun van stevige (berg)schoenen in mijn specifieke geval geholpen heeft.






