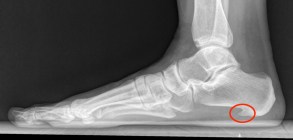
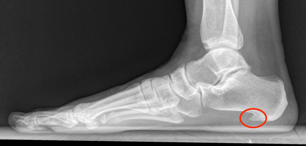
hielspoor-roentgen Gepubliceerd 21/04/2023 at 1200 × 574 in Wandelen en hielspoor: wat je er (niet) aan kunt doen ← Vorige Volgende → Hielspoor zichtbaar op Röntgen-foto